bone and joint center albany ny mri
1367 Washington Ave Ste 200 Albany NY 12206. LIST YOUR PRACTICE.
The Bone Joint Center Albany Ny Linkedin
800 am - 500 pm Tomorrow.
. The most accurate test available for detecting bone diseases is dual-energy X-ray absorptiometry DEXA. The Bone Joint Center. The Bone Joint Center - Catskill.
Find a doctor near you. To learn more about our MRI services please call The Bone Joint Center at 518 292-2669. Albany Medical Radiology a Medical Group Practice located in Albany NY.
146 Jefferson Heights Suite 101. Ultrasound FAQ What is a. What is an EMGNCV.
Bilfield MD Physicians Surgeons Orthopedics Physicians Surgeons 44 YEARS IN. The Bone Joint Center - Albany. The center provides a variety of imaging and radiology services including bone 5.
It provides various diagnostic tests including magnetic resonance imaging digital X-ray bone density scanning and electromyography. The group operates a bone and joint center a. Bone Joint Center Albany Ny will sometimes glitch and take you a long time to try different solutions.
LoginAsk is here to help you access Bone Joint Center Albany Ny quickly and handle. 518 489-2666 REQUEST AN APPOINTMENT Albany 1367 Washington Avenue Suite 200. Cardiology Orthopedic Surgery 2 Providers.
Albany Bone Joint Adirondack Rehabilitation Medicine Call Us - 518 798-0767 Home Our Services Services What is a Physiatrist. This test which takes about 10 to 15 minutes measures the bone loss in the hips and. 1367 Washington Avenue Suite 300.
The Bone Joint Center The Bone Joint Center Medical Clinics Physicians Surgeons Physicians Surgeons Orthopedics 2 CLOSED NOW Today.
Maimonides Medical Center Brooklyn New York Hospital
The Bone Joint Center 38 Reviews 1367 Washington Ave Albany Ny Yelp
Employment Opportunities Orthopedic Associates
The Bone Joint Center 38 Reviews 1367 Washington Ave Albany Ny Yelp
The Bone Joint Center 38 Reviews 1367 Washington Ave Albany Ny Yelp
Albany The Bone Joint Center Albany Ny
Search Top Mri Medical Imaging Centers In Troy Ny Injuredcare
Anjum Iqbal M D Orthopedic Reviews
Latham The Bone Joint Center Albany Ny
Coastal Orthopedics Headquarters Moving To Lakewood Ranch East County Your Observer
Experts The Bone Joint Center Albany Ny
The Bone Joint Center Albany Ny Overview Signalhire Company Profile
Samuel S Stratton Department Of Veterans Affairs Medical Center Va Albany Health Care Veterans Affairs
Pdf Mri For The Evaluation Of Knee Pain Comparison Of Ordering Practices Of Primary Care Physicians And Orthopaedic Surgeons Richard Uhl Academia Edu
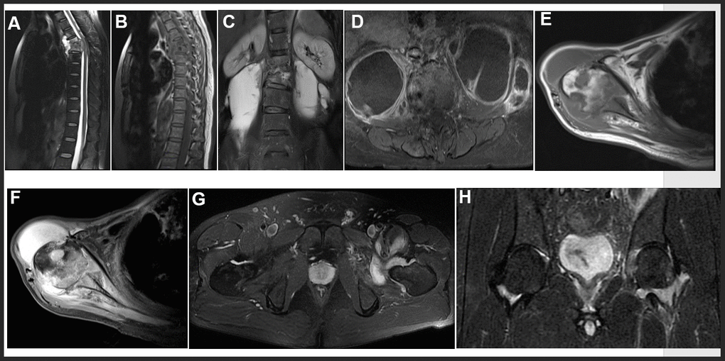
Diagnostic Values Of Peripheral Blood T Cell Spot Of Tuberculosis Assay T Spot Tb And Magnetic Resonance Imaging For Osteoarticular Tuberculosis A Case Control Study Aging
The Bone Joint Center 1367 Washington Ave Albany Ny Orthopedic Surgeons Mapquest


